Dental Smile Gallery Salmon Creek
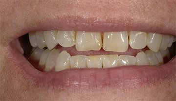
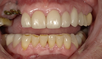
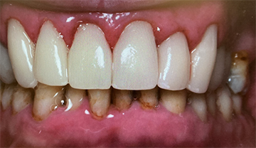
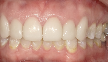
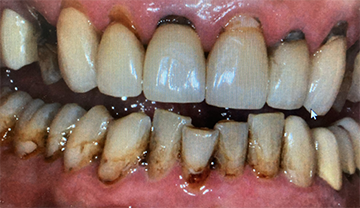
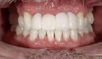
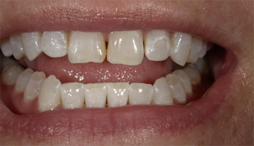
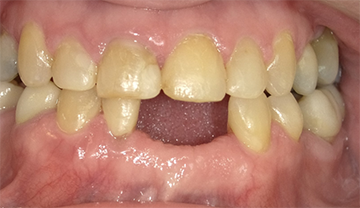
Smiles That Speak for Themselves

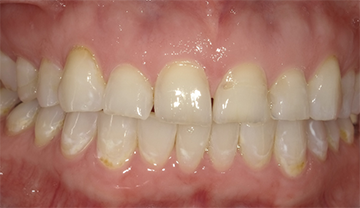
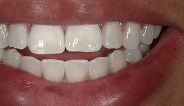
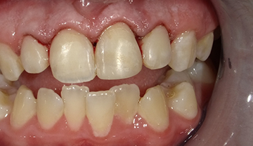
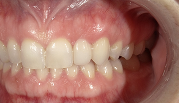
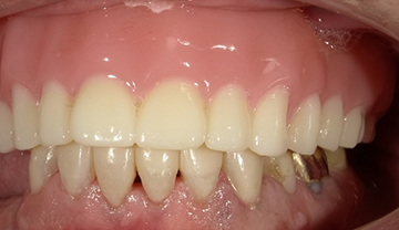
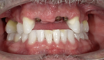
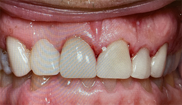
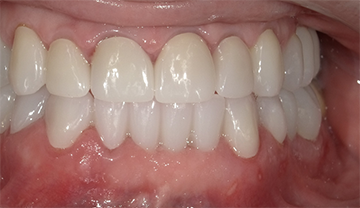
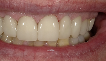
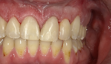
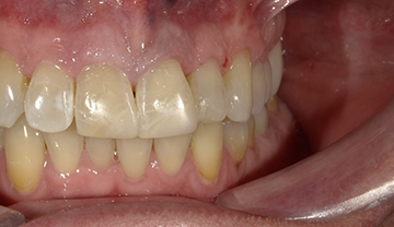
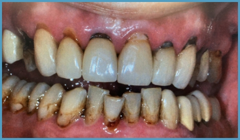
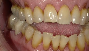
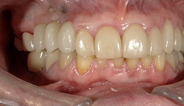
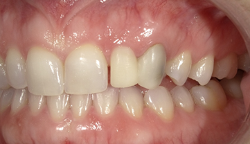
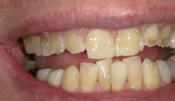
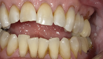
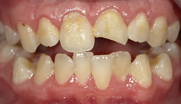
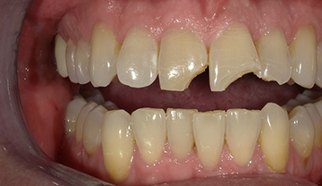
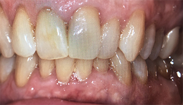
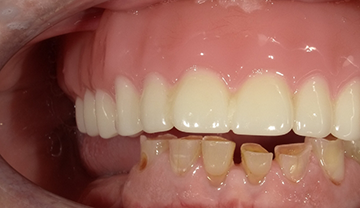
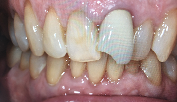
When thinking about a particular treatment to address a problem area of your smile, you may wonder what kind of results Dr. Kelly can produce. Fortunately, you don’t have to look far, as we have a smile gallery full of images that speak for themselves. Whether it’s a dental crown, veneers, dental implants, or another one of our many solutions at Salmon Creek Complete Dentistry, you’ll see that the smiles found in these images are beautiful, healthy, and truly one-of-a-kind.